Free Teeth Whitening Pen

Complimentary Teeth Whitening Pen with your next routine dental visit. Limited time offer!

Porcelain Dental Crowns in NYC

A tooth-colored porcelain crown will repair a damaged tooth to look and function like a natural tooth.  Permanent porcelain crowns are extremely strong and durable. They are also very cosmetically pleasing.  We take immense pride in making dental crowns that other people will think are natural teeth when you smile.  Porcelain crowns can be used to repair a weakened tooth or replace an old metal restoration.

Dental technology has evolved to a point where there’s no longer a need to have a metal substructure in dental crowns.   Our porcelain crowns are completely metal free. Porcelain crowns are milled directly from a ceramic block. The material is bio-compatible, patient no longer have to worry about possible allergies to metals.

Check out our before and after photos of our patients’ porcelain crowns.

Who is a good candidate for Porcelain crowns in NYC?

Porcelain Dental crowns are an excellent cosmetic option to restore weakened or damaged teeth.  Latest technological advancements enable us to make porcelain crowns that are strong, durable, and highly esthetically pleasing.  A porcelain crown placed over a tooth can help keep it healthy.  Each porcelain crown is custom made to fit in your mouth precisely.  The dentists in our NYC midtown Manhattan office can help determine if you are a candidate for porcelain crowns. 

Making the Porcelain Crown

To make a porcelain crown, the tooth is first prepared by a cosmetic dentist.  Then a quick impression of the tooth is taken. The next step is to scan it into our computer’s 3D software.

Our master ceramist will design the digital crown using the 3D software. Before the crown is milled the master lab technician makes sure the design of the new crown is optimal.

The lab technician uses the software to make sure the contacts, bite and the margins on the new Porcelain crown are exactly correct. Once the 3D model is ready, the computer mills the ceramic crown from a block. The crown from start to finish is ready in just hours.

Advantages of Porcelain Dental Crowns

Porcelain Crowns are completely metal free and make for a nice cosmetic option for dental crowns. These crowns are preferred by cosmetic dentists for their esthetics and strength.

They are strong and durable enough to withstand the toughest chewing forces.

Molar Tooth Restored with a Porcelain Crown

A significantly damaged molar tooth either from tooth decay or tooth fracture can be restored with a porcelain crown.  The porcelain crown surrounds the tooth fully to protect the tooth from further breaking and even helps prevent future cavities.  The porcelain crown feels smooth and functions like a real tooth.  It’s advised for root canal teeth to get a crown to increase the tooth’s lifespan.   

Porcelain Dental Bridge

Patient was missing a front tooth.  Since he wasn’t a good candidate for dental implant placement, a porcelain dental bridge was recommended.  A bridge is just three porcelain crowns connected together.    The cosmetic result looks very naturally esthetic.

Replacing front tooth crowns with porcelain crowns

@drpetermann Replacing three old mismatched crowns with new beautiful porcelain crowns. #smilemakeover #cosmeticdentist #nycdentist #porcelaincrowns ♬ Sugar, Sugar - The Archies

Porcelain Crown Applications

Dental crowns can be used to restore teeth in the following situations:

  • Tooth after a root canal
  • Teeth weakened by previous restorations
  • Replace old crowns
  • Tooth with 50% or more of its tooth structure missing
  • A severely Decayed tooth
  • A fractured tooth
  • Tooth replacement with a Dental Implant
  • Cover a cosmetically misshaped or discolored tooth
  • Correct alignment of uneven or rotated tooth
  • Porcelain crowns can also be made to replace missing teeth as part of a dental bridge. 

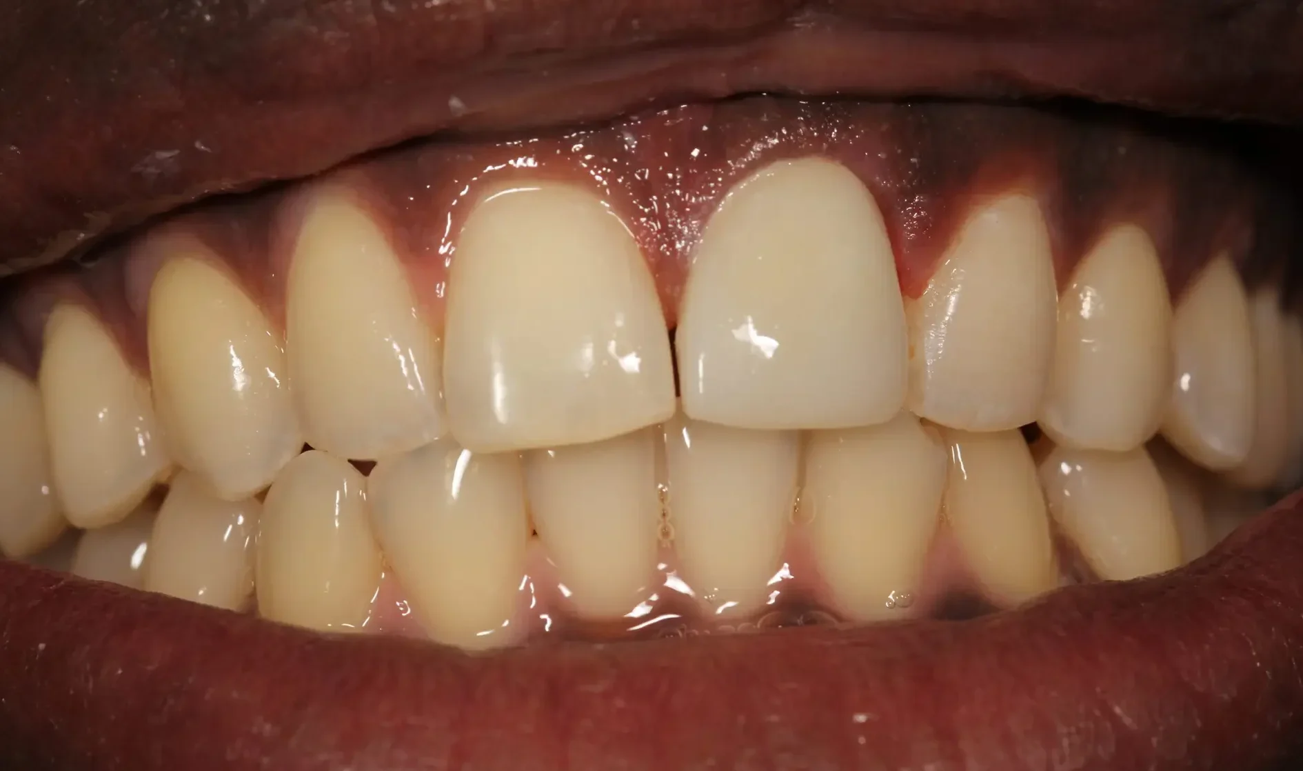
Porcelain crown restoring a front tooth

Porcelain crowns can repair a broken or badly damaged tooth.  Crowns that are made to protect your teeth while maintaining a natural appearance.  Crowns are custom color matched to create a uniform smile.